Make an appointment
Shop No.242, First Floor, Plot No.2-3, Ward No.6, Opp. KPT Ground, Rotary Circle, Tagor Road, Gandhidham: 370201

Services

DENTAL SERVICES

Smile Dental Clinic provides quality dental care to the entire family, from children requiring oral surgery to older adults requiring full or partial dentures.

CROWN & BRIDGE
COMPOSITE FILLING
COSMETIC TREATMENT
BLEACHING
BRACES
Fractured teeth bonding
CROWN
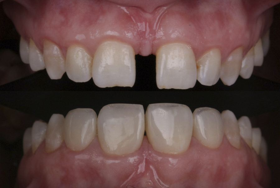
DIASTEMA CLOSURE
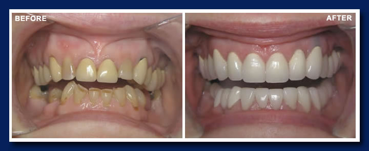
Full Mouth Reconstruction
FLUORIDE APPLICATION
PARTIAL DENTURE
BPEDIATRIC DENTISTRY
ROOT CANAL TREATMENT
TEETH EXTRACTION
SCALING & POLISHING
DENTURE
VENEERS
WISDOM TEETH SURGERY
Enquiry Now!
Whatsapp Now!
Call Now!